5020 Salzburg
Nonntaler Hauptstraße 56A
Telefon 0662 83 13 08-0
ordination@sietzen.at 
www.sietzen.at 

Die Untersuchung auf Thrombosen

Ein Verdacht auf Thrombose

besteht (s.o) beim nicht bettlägerigen Patienten bei pötzlich oder innerhalb von Tagen aufgetretener einseitiger Schwellung, dumpfen knotigen Schmerzen oder dunkler Verfärbung des Beines, die nicht durch eine andere bekannte Erkrankung erklärt werden kann.

Ein Ausschluß eines frischen thrombotischen Geschehens ist durch einen einfachen Bluttest, den sogenannten D-Dimer - Test möglich. Dieser Test wird in vielen Krankenhäusern durchgeführt.

Die Ultraschalluntersuchung (Duplexsonographie)

erlaubt in der Hand des geübten Untersuchers ihrerseits mit sehr groer Zuverlssigkeit sowohl den Ausschlu wie die Feststellung einer Thrombose, sie erlaubt, die Ausdehnung und in gewissem Umfang auch die Altersbestimmung der Gerinnsel sowie deren Gefährlichkeit bezüglich einer Lungenembolie zu erfassen.

Die Röntgenkontrastmitteldarstellung

der Venen (Phlebographie) ist in den letzen Jahren zusehends durch die Duplex-Sonographie bzw. Triplex-Sonographie ersetzt worden bei der Beurteilung von fraglichen Thrombosen.

Zur Darstellung von Thrombosen erfolgt die Kontrastmitteleinspritzung in eine Vene am Fußrücken (meistens oberhalb der Großzehe) und durch einen oberhalb der Knöchel angebrachten Stau wird das Blut in die tiefen Venen abgedrängt. Nun kann das Blut über die tiefen Venen, die somit auch beurteilt werden können, bis zur Kniekehle und zur Leiste abfließen.

Aufgrund von Komplikationsmöglichkeiten und Nebenwirkungen wird die Röntgenkontrastmitteldarstellung heute nur noch in ausgesuchten Fällen durchgeführt. An der Punktionsstelle können Venenreizungen und Entzündungen (Thrombophlebitiden) auftreten. Während des Kontrastmittelabstromes kommt es zu einem leichten Hitzegefühl, gelegentlich zu Schmerzen. Selten sind Thrombosen der tiefen Beinvenen möglich. Die früher häufigen Unverträglichkeiten des Kontrastmittels mit Allergien oder Kollaps werden bei den neueren Kontrastmitteln seltener gesehen. Weiters spricht gegen die Phlebographie die Schmerzhaftigkeit der Venenpunktion am Fußrücken sowie der relativ hohe Aufwand und die höheren Kosten.

In ausgesuchten Fällen ist die Phlebographie nach wie vor eine ausgezeichnete und unverzichtbare Untersuchungsmethode.

 

 

Verdacht auf Thrombose

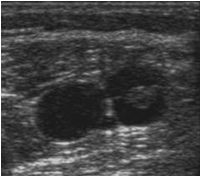
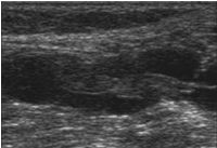
Ultraschall:

Thrombose im Querschnitt
Thrombose im Längsschnitt